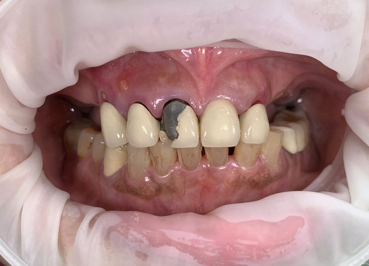
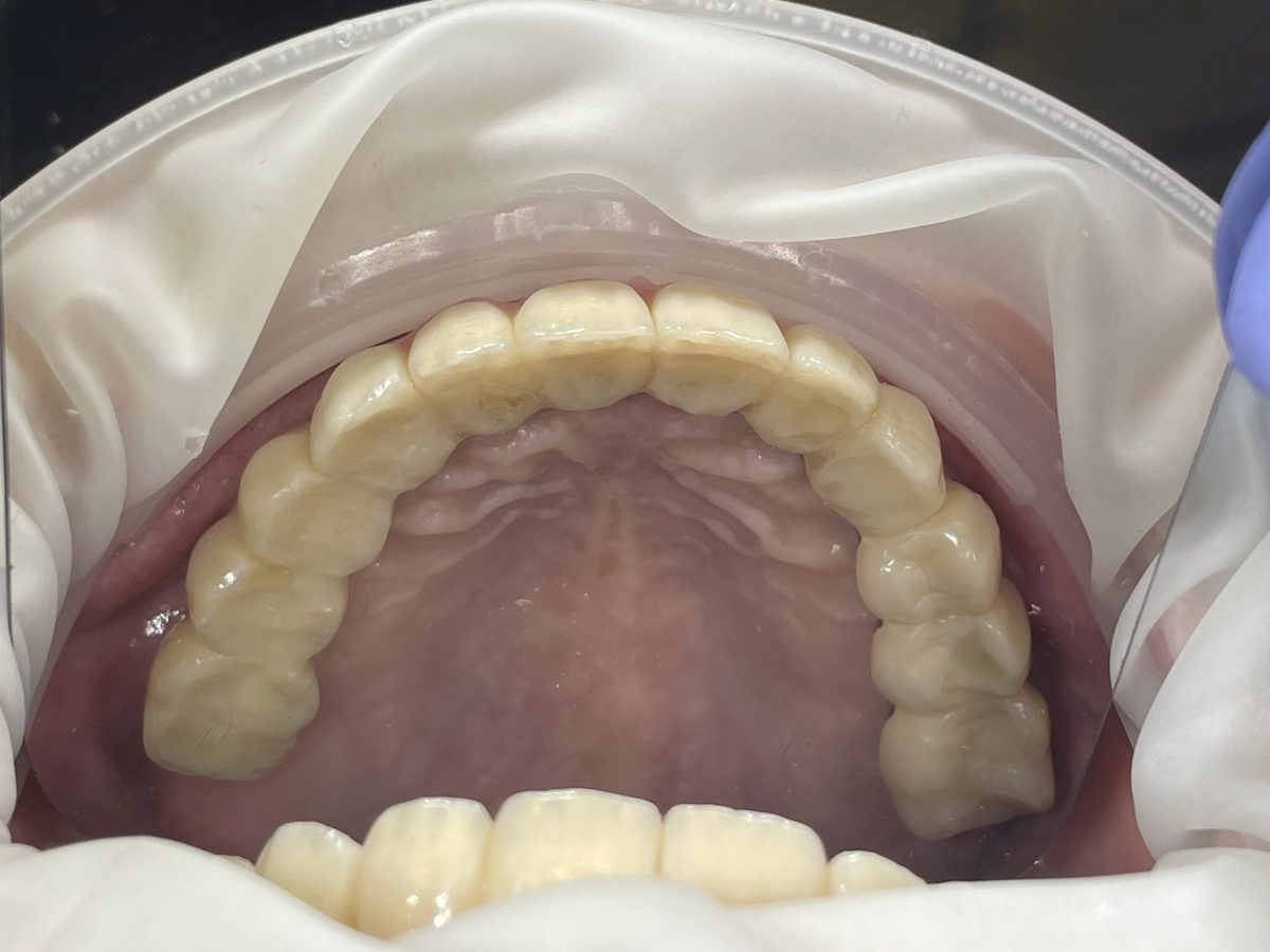
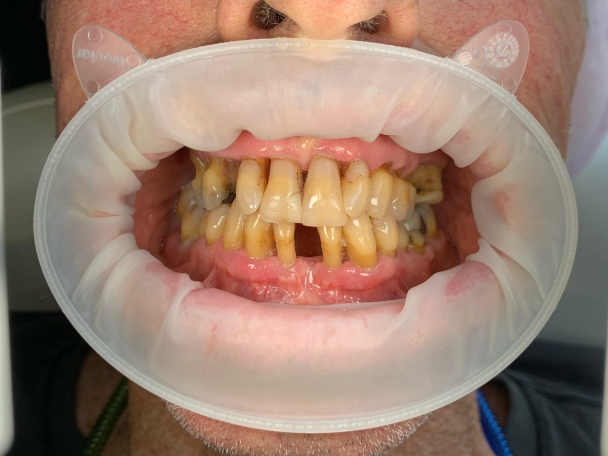
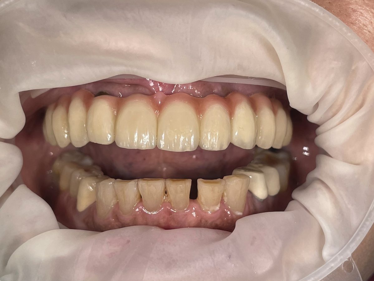
All-on-X dental implants are a full-arch restoration solution designed for patients with multiple missing, damaged, or failing teeth. The treatment uses four, five, or six dental implants to support a fixed full-arch prosthesis, restoring both function and aesthetics.
The number of implants required depends on bone condition, bite forces, and overall treatment planning.
At Fidelity Dental Bali, All-on-X treatments are performed by Dr. Mirza Aquaries, Sp.Perio, a periodontist and implantologist experienced in advanced implant and full-mouth rehabilitation cases for international and local patients in Bali.
Initial consultation, digital planning, impressions, and implant surgery are usually completed over 2–3 visits depending on case complexity.
A healing period of approximately 4–6 months allows osseointegration between the implants and jawbone.
The final full-arch prosthesis is fabricated and fitted over several appointments to optimize comfort, bite, and aesthetics.
We provide replacement for implants that fail during the osseointegration phase, according to clinical evaluation and treatment conditions.
![]() | ![]() |
![]() | ![]() |
![]() | ![]() |
![]() | ![]() |
![]() | ![]() |
![]() | ![]() |
![]() | ![]() |
![]() | ![]() |
![]() | ![]() |
![]() | ![]() |
![]() | ![]() |
We only recommend what you truly need, with clear explanations and no pressure.
Clear treatment plans and upfront pricing, so you know exactly what to expect.
Fluent communication, warm hospitality, and care tailored for patients traveling to Bali.

Here are the most common questions patients ask before booking with us.
Many international patients choose Fidelity Dental Bali for honest recommendations, experienced dentists, transparent pricing, and comfortable treatment experiences in Bali.
We focus on long-term dental health, natural-looking results, and clear communication — especially for patients traveling from Australia, New Zealand, Europe, and other international destinations.
We specialize in:
* Dental implants
* Full mouth rehabilitation
* Smile makeovers
* Veneers & crowns
* Cosmetic dentistry
* General dentistry
Our team also provides routine dental care including cleanings, fillings, extractions, whitening, and gum treatment.
Yes. Our dentists and patient coordinators communicate fluently in English and regularly treat international patients from Australia, New Zealand, Europe, the US, and other countries.
We focus on clear explanations, honest advice, and making patients feel comfortable throughout their treatment journey in Bali.
Yes. Many of our patients travel to Bali specifically for dental treatment.
Before your visit, we can review your X-rays or dental photos and help estimate treatment timelines, number of visits, and expected recovery periods — especially for dental implants, veneers, crowns, and full mouth rehabilitation.
Yes. We follow strict sterilization and infection-control protocols using medical-grade autoclave sterilization and internationally accepted hygiene standards.
Patient safety, cleanliness, and treatment quality are top priorities at Fidelity Dental Bali.
Absolutely.
Many patients feel anxious before dental treatment, especially when visiting a clinic abroad. Our team focuses on gentle communication, calm treatment approaches, and making patients feel comfortable at every step.
We take time to explain procedures clearly and avoid unnecessary pressure.
Dental treatment in Bali is often significantly more affordable compared to Australia, New Zealand, Europe, or the US — especially for veneers, crowns, dental implants, and full mouth rehabilitation.
Despite the lower costs, many international patients choose Bali for the combination of modern dentistry, experienced clinicians, and personalized care.
Our clinic is located on Sunset Road, Seminyak, Bali — easily accessible from Seminyak, Kuta, Canggu, and nearby tourist areas.
Appointments are highly recommended to ensure availability, especially for international patients and advanced treatments. Walk-ins are welcome based on schedule availability.
We accept:
* Credit cards
* Debit cards
* Cash payments
* Bank transfers / Wise
Our team can also assist with insurance documentation for reimbursement purposes when needed.
You can contact our team through:
* WhatsApp
* Instagram
* Email
* Website contact form
Our coordinators will help arrange your consultation and answer any questions before your visit.
We understand that travel plans can change.
If you need to reschedule, simply contact our team as early as possible and we will do our best to accommodate your new schedule.
The timeline depends on your case and bone condition.
Some implant cases may require multiple visits over several months, while others can be completed faster using immediate-loading techniques or temporary restorations.
Before your trip, our dentists can review your X-rays or scans and provide a personalized treatment timeline.
Most veneer and crown treatments can usually be completed within 5–10 days, depending on the complexity of the case and the number of teeth involved.
Our team will help schedule your appointments efficiently so your treatment fits comfortably within your Bali stay.
Dental implants in Bali are often significantly more affordable compared to Australia, Europe, or the US, while still using high-quality materials and modern techniques.
The exact cost depends on:
* number of implants
* bone condition
* implant system used
* whether additional procedures are needed
You can contact our team for a personalized consultation and treatment estimate.
Yes. Bali has become one of the leading destinations for dental tourism due to its combination of experienced dentists, modern clinics, affordable pricing, and comfortable travel experience.
Many international patients choose Bali to combine dental treatment with a relaxing stay and recovery period.
Many treatments such as veneers, crowns, whitening, and some implant procedures can be started or completed within a single trip, depending on the case.
For more complex implant or full-mouth rehabilitation cases, treatment may require staged visits for proper healing and long-term success.
Full mouth rehabilitation is a comprehensive dental treatment designed to restore both function and aesthetics for patients with severely worn, damaged, missing, or failing teeth.
Treatment may include a combination of:
* crowns
* veneers
* dental implants
* bridges
* gum treatment
* bite rehabilitation
Each treatment plan is customized based on the patient’s oral condition and long-term goals.
Yes. We provide personalized smile makeover consultations based on your facial profile, dental condition, bite, and aesthetic goals.
Our dentists focus on creating natural-looking smiles that balance aesthetics, comfort, and long-term function.
Yes. Many international patients send us:
* dental X-rays
* CT scans
* intraoral photos
* previous treatment records
before traveling to Bali.
This helps our dentists better understand your condition and prepare a preliminary treatment plan before your arrival.